【記者盧世光/綜合報導】年近八旬的許奶奶患有慢性肺病、心臟衰竭、糖尿病、高血壓等多種慢性疾病,長期於台北慈濟醫院胸腔內科及感染科追蹤看診。半年前回診發現肝指數過高,感染科醫師遂安排腹部超音波檢查,結果發現脂肪肝及肝臟一顆約三公分大腫瘤,故轉診至胃腸肝膽科陳泓達醫師門診進一步檢查。後續經由電腦斷層、磁振造影檢查,診斷為肝癌,陳泓達醫師考量許奶奶肝功能及身體狀況執行「腫瘤射頻燒灼術」,術後三天,許奶奶平安出院。
肝臟主要有營養代謝儲存、製造膽汁、分解毒素以及凝血的作用,是人體相當重要的器官,據衛生福利部國民健康署統計,台灣每年約有10,000人確診肝癌,7,700人因肝癌死亡,高居癌症發生率第三名及死亡率第二名,其中男性是女性的1.5倍。陳泓達醫師說明:「B型肝炎、C型肝炎、肝硬化、脂肪肝或有肝癌家族病史者是肝癌的好發族群。隨著年齡增長,病人免疫系統功能逐漸下降,對癌細胞的監控與清除能力也隨之降低,癌變機率也隨之增加。」肝癌的早期症狀並不明顯,往往要到腫瘤增大甚至破裂或病情達中後期才會有腹痛、噁心、腹水與黃疸指數過高等情形。若沒有及時就醫診治,腫瘤可能侵犯血管或發生遠端轉移,或腫瘤破裂出血等相關病症。因此早期診斷的重要性在於早期肝癌五年存活率可達五成左右或更高,能帶給患者較好的預後。
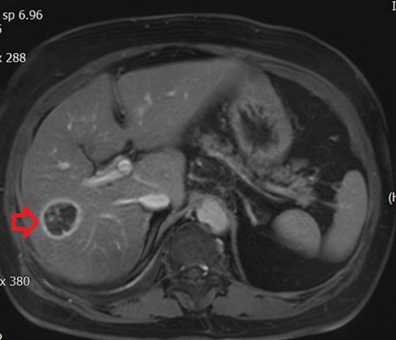
肝癌的診斷除了觀察臨床表現外,還需藉由抽血檢查檢驗肝功能狀態,並利用腹部超音波、電腦斷層或核磁造影等相關檢查確認腫瘤型態、大小以及是否有轉移。在手術治療方面,除了傳統開腹手術、微創腹腔鏡或達文西手術外,尚有腫瘤射頻燒灼術的選擇,主要運用於腫瘤小於2至3公分的患者或心肺功能無法負荷麻醉或手術風險較高的病患;腫瘤大於3公分以上的患者是否適用則需醫師詳細評估。以許奶奶為例,慢性疾病較多、身體機能較差,經多團隊會議及家屬溝通後,射頻燒灼術治療是最妥適的選擇。首先以超音波定位確認病灶,再以電燒針穿刺至腫瘤中央,在腫瘤內產生高熱使癌細胞壞死,達到治療目的。陳泓達醫師提到:「射頻治療的治療時間約落在數十分鐘左右,對病人的影響較輕,在審慎評估後適用的病患族群預後效果與其他手術相當,是肝癌治療的另一種選擇。」
陳泓達醫師表示,40歲以上民眾可考慮每年定期進行肝臟檢查;B型、C型肝炎者每半年追蹤一次;肝硬化病人因罹癌風險高,應每三個月密集檢查。此外,肝癌治療須視病人身體狀況及腫瘤大小、顆數及位置而定,民眾若檢查發現癌症前兆或有腹痛等症狀,務必尋求專業醫師診斷,選擇最妥適的治療方案。


